안녕하세요.
신경과 구조의 균형을 연구해 온 송정현입니다.

내 머리가 자꾸
흔들리는 것 같다고
느껴본 적 있으신가요?
주변 사람은 잘 모르지만 본인은 미세한 움직임이 계속 느껴질 때가 있어요.
가만히 있어도 두부가 좌우로 흔들리거나
사진을 찍을 때 고개가 살짝 떨리는 듯한 경험 말입니다.
저는 근긴장이상증을 포함한 머리 흔들림 증상을
신경계의 조절 이상으로 인해
발생하는
운동장애로 보고 있습니다.
근긴장이상증, 구조의 흐름에서 답을 찾다
안녕하세요. 몸과 신경의 균형을 연구해 온 송정현 한의사입니다. 여러 곳을 다녀도 “이상은 없다” 는 말...
blog.naver.com
이러한 신경계 불균형으로 인해 목과 척추 주변 근육의 긴장이 함께 높아지며 구조적 불균형이 2차적으로 생길 수 있습니다.
따라서 도침치료와 추나교정을 통해 긴장된 근육을 이완시키고 척추의 정렬을 바로잡음으로써
신경 흐름을 원활하게 하고 증상 완화를 돕는 치료를 진행합니다.

단순한 떨림이 아닙니다
의학적으로 머리의 떨림은
'두전증(Head Tremor)'
혹은
'본태성 떨림(Essential Tremor)'
에 해당합니다.
이들은 이상운동증후군(Extrapyramidal Syndrome, EPS)의 한 범주로,
뇌의 추체외로계(extrapyramidal system) 이상으로 인해 비정상적이고 비자의적인 움직임이 나타나는 현상이에요.
여기서 중요한 점은 이 현상이 단순히 근육이 약해서 생기는 게 아니라
운동을 조절하는 뇌의 회로 특히 뇌간(Brainstem)과 상부경추(C0–C2)의 연결에 변화가 생길 때 나타난다는 겁니다.

추체로와 추체외로
두 개의 신경 길
우리 몸의 움직임은 두 개의 큰 신경 경로를 따라 전달됩니다.
'추체로(pyramidal tract)'
우리가 의식적으로 움직이는 근육을 조절
'추체외로(extrapyramidal tract)'
자세를 유지하고 불필요한 움직임을
억제하는 자동조절 시스템
이 중 추체외로는 뇌간의 흑색질, 적핵, 전정핵, 망상체 등 여러 핵을 거치며 작동합니다.
따라서 뇌간의 기능이 흔들리면 의도하지 않은 ✔️떨림✔️근긴장이상증✔️ 흔들림 같은 불수의적 움직임이 나타날 수 있습니다.


상부경추의 정렬이 무너질 때
나타나는 신호
머리와 목의 경계부 즉 후두골–C1–C2 구간은 뇌간과 척수가 직접 이어지는 지점입니다.
이 부위가 틀어지면 연수와 척수에 영향을 줄 수 있고 추골동맥을 따라 흐르는 뇌혈류의 흐름이 제한될 수 있습니다.


또한 경막과 교감신경계의 긴장 변화가 생기면 운동신호 전달이 왜곡되고
결국 머리가 저절로 흔들리는 현상으로 이어 질 수 있어요.
한의사 송정현이 투고한 임상논문
1. 한방복합치료로 호전된 18년 된 만성 이명 증례 보고
2. 척추도인안교로 온전히 회복된 돌발성난청 1례
3. 침도요법을 포함한 한의복합치료로 호전된 교통사고로 인한 뇌진탕 후 증후군 증례 보고
4. FCST로 호전된 두부 진전 2례
5. 침도요법 및 한의복합치료로 호전된 자율신경실조증 증례보고
6. 침도요법 및 한의복합치료로 호전된 돌발성 난청 및 메니에르 의증으로 인한 이명 치험례
임상논문에서도 확인된 구조
신경의 연관성
저는 여러 임상연구를 통해 이러한 구조적 불균형이 신경계 기능에 어떤 영향을 주는지를 살펴봤습니다.
✔️ 「FCST로 호전된 두부진전 2례」
✔️ 「침도요법을 포함한 한의복합치료로 호전된 뇌진탕 후 증후군」
✔️ 「침도요법 및 한의복합치료로 호전된 자율신경실조증」
이 세 논문 모두 상부경추의 정렬 회복이 신경계 안정에 도움이 될 수 있음을 보여주었습니다.
특히 두부 진전 환자에서 FCST와 경추 교정을 병행한 결과
떨림의 정도가 10점에서 0점으로 감소했으며
뇌간의 신호 전달과 운동 조절이 안정화되었습니다.
이러한 결과는
근긴장이상증 및 머리 흔드는 병이
'단순한 떨림'이 아니라
뇌간–상부경추–추체외로 축의
기능 변화임을 뒷받침합니다.

구조를 바로 세우는 접근
침도요법, 추나, FCST의 조화
저는 임상에서
✔️침도요법
✔️추나
✔️FCST
를 병행합니다.
침도요법은 엉킨 근육과 인대를 섬세하게 풀어 경추 주변의 긴장을 완화하고 뇌간으로 향하는 신경 흐름을 회복하도록 돕습니다.

추나요법은 틀어진 관절과 뼈를 부드럽게 되돌려 머리–경추–흉추로 이어지는 축 전체의 균형을 잡습니다.


FCST(Functional Cerebrospinal Therapy)는 턱관절을 조율점으로 삼아 두부와 목, 신경계 전체의 조화를 맞추는 방법입니다.
턱관절이 한쪽으로 살짝 틀어지면
✔️턱이 닫힐 때 균형이 무너지고
✔️목뼈가 한쪽으로 당겨지며
✔️뇌간으로 가는 신경 자극의 흐름이
한쪽으로 쏠리게 돼요.
이때 FCST에서는입을 다문 상태에서 미세하게 턱의 중심선을 조정하거나
턱 주위 근육의 좌우 긴장을 풀어 턱이 중심을 스스로 찾아가게 만드는 식으로 진행합니다.

그래서 통증이나 ‘뼈 맞추는’ 소리가 나는 시술이 아니라
정렬이 바뀌면서 몸 전체의 중심이 안정되는 느낌을 받는 경우가 많아요.
머리 흔드는 병 환자분의 경우
경추가 틀어져서 신경 압박이 생기면
뇌간에서 운동 신호가
불안정하게 전달됩니다.
그때 턱관절의 중심이 틀어져 있으면
두부의 중심이 기울고
뇌척수액 순환도 흐트러지죠.
그래서 추나로 구조를 세우고
FCST로 턱의 중심을 바로잡으면
뇌간–경추–턱관절 축이
일직선으로 연결되며
신경이 안정되는 거예요.
즉, 추나가 구조를 세우고, FCST가 그 구조 안의 신경 흐름을 정렬하는 역할을 합니다.


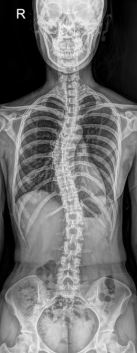
X-ray를 찍는 이유?
추체외로계 운동장애(디스토니아, 파킨슨증, 진전 등)는 주로 기저핵–뇌간 경로의 기능이상으로 발생합니다.
여기서 상부경추 변위로 뇌간에 압박이 생기면
망상체(reticular formation)
▶ 근긴장 조절 장애
전정핵(vestibular nuclei)
▶균형·자세 불안정
적핵(red nucleus)
▶ 미세운동 이상
▶ 불수의적 운동, 근긴장 이상
으로 이어질 가능성이 있습니다.

그래서 이러한 기능이상 파악을 위해 항상 X-ray로 상부경추(C0, C1, C2)의 정렬을 가장 먼저 확인합니다.
이는 정확하게 파악하고 치료하기 위함이며 상부경추(C0·C1·C2)의 회전 각도와 틀어진 방향을 수치화해
시술 전후의 변화를 비교하면 환자분이 느끼는 안정감이 실제 구조 변화와 함께 일치하는 걸 확인할 수 있기 때문이죠.

머리만 보지 않습니다.
몸 전체를 봅니다.
결국 머리 흔드는 병은
머리의 문제만이 아니라
몸 전체를 다시 봐야 한다는 겁니다.
대뇌에서 내려온 운동신호가 뇌간을 거쳐 경추로 이어질 때
그 흐름이 틀어지면 몸은 떨림으로 몸에 이상을 알려줍니다.
저는 이 신호를 억누르지 않습니다.
오히려 그 신호를 통해
몸의 구조를 바로 세우고
신경의 흐름이 다시 안정될 수 있도록
돕는 것이 제 역할이라고 생각합니다.
| 꼭 읽어주세요 |
| 한 분, 한 분께 최선의 의료서비스를 제공하기 위해 1일 진료 인원을 한정하고 있는 점, 너그러운 양해 부탁드립니다. 원하시는 시간에 예약이 안 될 수 있으며, 예약하시더라도 대기가 발생할 수 있습니다. 전화 또는 네이버플레이스를 통해 문의 주시면 보다 빠르고 편리하게 안내받으실 수 있습니다. |
| 언제나 최선의 진료를 약속하는 본큐어한의원이 되겠습니다. |
| 한의사 송정현의 생생한 진료 현장을 전해드립니다. |
| 한의사 송정현의 유튜브 바로가기 |
| 한의사 송정현의 스레드를 통해 진료 이야기를 만나보실 수 있습니다. |
| 한의사 송정현의 스레드 바로가기 |
| 진료 문의 |
| 대표전화 : 02-6952-0833 |
| 네이버 플레이스 예약 (링크를 누루시면 자동으로 연결됩니다) |
본큐어한의원은 청담동 청담사거리에 있습니다. 청담역, 압구정로데오역 혹은 강남구청역에서 걸어오시면 편리합니다. 진료를 원하시면 02-6952-0833 또는 네이버플레이스를 통해 예약 부탁드립니다.
한의사송정현 소개글
청담동 본큐어한의원 원장 송정현입니다. 반갑습니다.
안녕하세요 한의사 송정현을 소개합니다. 안녕하세요. 청담동 본큐어한의원 대표원장 송정현입니다. 올해로 청담동 개원 3년차가 되어 다시금 소개글을 작성해봅니다. 저는 청담동 본큐어한의
songhanisa.tistory.com
'진료기록 > 자율신경실조증_어지럼증' 카테고리의 다른 글
| 성형 후 붓기 안 빠지는 진짜 이유 (0) | 2026.03.11 |
|---|---|
| 턱관절 통증, 단순히 이갈이 때문만은 아닙니다 (0) | 2026.02.26 |
| 머리떨림증상, 멈추지 않는 이유가 있습니다 (1) | 2026.02.18 |
| 자율 신경 기능 이상 검사 핵심은 이것입니다 (1) | 2026.02.17 |
| 자율신경실조증 검사 후 관리의 핵심은 이것입니다. (0) | 2026.02.14 |