안녕하세요.
난치성 뇌신경계 질환을 진료하는
한의사 송정현입니다.

"세상이 빙글 도는 것 같아요."
"바닥이 흔들리고
몸이 붕 뜨는 느낌입니다."
이런 어지럼증 어느 병원부터 여러 의원까지 검사를 받아보았지만
“특별한 이상이 없습니다”
혹은
“스트레스성일 수 있으니
충분히 쉬어보세요”
라는 말을 들으신 분들이 많습니다.
이런 분들을 저는
'한의원 유목민'
이라고 부르기도 합니다.
의료기관을 여러 곳 다녀보신 분들은 평소 진료 방향이 반복되는 경우가 있다는 느낌을 가지신 경우도 많습니다.
어지럼증이 반복될 때 ‘어지럼증 어느 병원’이 좋을까 고민하는 분들이 많습니다.
만약 당신이 이러한 '난치병 유목민' 중 한 분이라면 이제는 바라보는 관점을 완전히 바꿀 필요가 있습니다.
문제의 진짜 시작은 귀가 아닌 우리 몸의 중심축인
'척추와 두개골의 구조'
에 있을 수 있습니다.

왜 척추와 자율신경을 봐야 하는가?
단순히 귀의 평형 기능 문제로만 발생하지 않습니다.
오히려 자율신경실조증의 핵심 신호 중 하나로 나타나는 경우가 매우 흔합니다.
우리 몸의 교감신경과 부교감신경으로 이루어진 자율신경계는 ✔️심박✔️호흡✔️소화✔️혈압 등 생명 유지 기능을 총괄하는 관제탑입니다.
균형이 깨지면 ✔️어지럼증과 함께 ✔️두통✔️가슴 두근거림✔️소화불량✔️불면 등 복합적인 불편함이 나타납니다.

핵심은 자율신경이 척추를 따라 주행한다는 사실입니다.
잘못된 자세나 습관으로 척추와 두개골의 정렬이 틀어지면 신경이 지나가는 통로가 물리적으로 압박을 받게 됩니다.
이는 마치 꼬인 호스에서 물이 제대로 나오지 않는 것과 같습니다.
흐름이 방해받으면 자율신경 기능에 문제가 생기고 그 신호가 나타나는 것입니다.
많은 분들이 귀를 먼저 떠올리지만, ‘어지럼증 어느 병원’에서 척추와 자율신경을 함께 본다면 전혀 다른 접근이 가능합니다.


'느낌'이 아닌 '데이터'로 원인을 찾습니다
저는 환자의 '감'이나 주관적 호소에만 의존하지 않습니다.
난치성 불편일수록
객관적인 데이터로
신뢰를 드리는 것이 중요
하다고 믿기 때문입니다.
기존의 자율신경검사(HRV 등)는 심장 기능에 국한되어 전신적인 자율신경 문제를 파악하는 데 한계가 있을 수 있습니다.
그래서 저는 다음과 같은 체계적인 평가법을 활용합니다.




객관적 증상 측정 (평가 척도 활용)
"어지럼증 평가척도(Dizziness Handicap Inventory)", "벡-불안/우울 척도" 등 공인된 평가 도구를 사용해 환자의 불편함을 숫자로 기록합니다.
이를 통해 변화의 정도를
'좀 나아진 것 같아요'
가 아닌 수치 변화로
함께 확인 합니다.


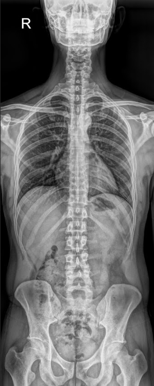
구조적 원인 분석 (Whole Spine X-ray)
협력 영상의학과에서 촬영한 엑스레이를 통해 경추부터 골반까지 척추 전체의 배열 상태를 정밀하게 분석합니다.
틀어진 배열은 자율신경 통로의 압박 가능성을 시각적으로 보여주는 강력한 단서가 됩니다.
10회 단위로 재촬영하여
구조적 변화가 어떤 흐름으로
연결되는지 직접 확인합니다.
실제로 ‘어지럼증 어느 병원’을 검색해서 오신 분들 중 상당수가 이전과는 다른 방식의 평가에 신뢰를 느꼈다고 말씀하십니다.

침도요법과 추나요법으로
구조를 바로 세웁니다
정확한 분석을 통해 구조적 원인이 파악되면 저는 약물보다는 물리적 접근에 집중합니다.

침도요법
침 끝이 미세한 끌처럼 생긴 특수 침을 이용해 굳고 유착된 조직을 정밀하게 분리하는 방법입니다.
신경과 혈관의 압박을 완화하고 자율신경계의 흐름을 회복시키는 데 도움을 줍니다.


추나요법
틀어진 척추와 두개골 관절을 정렬해 구조적 균형을 회복합니다.
배열이 안정되면 자율신경계의 반응도 달라질 수 있습니다.
단순한 자극이 아니라 구조 전체를 분석하는 방식은 새로운 선택지가 될 수 있습니다.

논문으로 증명한 흐름
이러한 구조적 접근법은 주관적 경험에 머무르지 않습니다.
침도요법과 한의 복합 접근을 통해 자율신경 흐름의 변화를 관찰한 사례를 논문으로 정리했으며 이는 약물 외의 다양한 방법에 대한 가능성을 제시한 국내 최초 보고로 평가받고 있습니다.
또한 척추 배열의 변화 양상이 확인된 사례 역시 관련 연구로 정리한 바 있습니다.


저는 이러한 난청 관련 불편 역시 구조적 관점에서 분석하며
장기 지속 사례를 기반으로 관찰된 변화 양상과 자율신경계 반응의 상관성을 학회지에 보고하며 학술적 기반을 마련해가고 있습니다. (논문확인하기 -> 침도요법 및 한의복합치료로 호전된 자율신경실조증 증례보고)
그래서 구체적인 연구와 정리된 자료를 통해 과학적인 방향을 제시하고자 합니다.

제가 진료 시간을 쪼개어 논문을 쓰는 이유는 하나입니다.
신뢰.
수많은 병원을 전전하며 지친 분들께
"믿어보세요"
"이러한 과학적 근거와
객관적 데이터가 있습니다"
라고 보여드리고 싶기 때문입니다.
‘어지럼증 어느 병원’을 고민하는 분들 중 회복 가능성을 실감한 이들은 바로 그 과학적 접근 방식에서 출발했습니다.
흔들림 없는 일상을 위해
이는
'원인 불명'이나 '스트레스성'
으로만 볼 수 없습니다.
당신의 몸이 보내는 구조적인 신호일 가능성이 높습니다.
반복되는 신호에 지치셨다면이제
몸 전체의 구조와 균형을
새롭게 살펴보는 관점을
가져보시는 건 어떨까요?
여러분의 흔들림 없는 일상을 되찾는 여정에 저의 모든 지식과 경험을 다해 함께하겠습니다.
긴 글 읽어주셔서 감사합니다.
| 꼭 읽어주세요 |
| 한 분, 한 분께 최선의 의료서비스를 제공하기 위해 1일 진료 인원을 한정하고 있는 점, 너그러운 양해 부탁드립니다. 원하시는 시간에 예약이 안 될 수 있으며, 예약하시더라도 대기가 발생할 수 있습니다. 전화 또는 네이버플레이스를 통해 문의 주시면 보다 빠르고 편리하게 안내받으실 수 있습니다. |
| 언제나 최선의 진료를 약속하는 본큐어한의원이 되겠습니다. |
| 한의사 송정현의 생생한 진료 현장을 전해드립니다. |
| 한의사 송정현의 유튜브 바로가기 |
| 한의사 송정현의 스레드를 통해 진료 이야기를 만나보실 수 있습니다. |
| 한의사 송정현의 스레드 바로가기 |
| 진료 문의 |
| 대표전화 : 02-6952-0833 |
| 네이버 플레이스 예약 (링크를 누루시면 자동으로 연결됩니다) |
본큐어한의원은 청담동 청담사거리에 있습니다. 청담역, 압구정로데오역 혹은 강남구청역에서 걸어오시면 편리합니다. 진료를 원하시면 02-6952-0833 또는 네이버플레이스를 통해 예약 부탁드립니다.
한의사송정현 소개글
청담동 본큐어한의원 원장 송정현입니다. 반갑습니다.
안녕하세요 한의사 송정현을 소개합니다. 안녕하세요. 청담동 본큐어한의원 대표원장 송정현입니다. 올해로 청담동 개원 3년차가 되어 다시금 소개글을 작성해봅니다. 저는 청담동 본큐어한의
songhanisa.tistory.com