안녕하세요.
신경계의 기능적 불균형과 구조적 긴장을 함께 연구하고 있는 송정현입니다.

이명, 난청, 메니에르병 원인을 비롯해 자율신경실조증, 틱장애 등 복잡한 증상으로 고민하시는 분들을 주로 만나고 있습니다.
“여러 곳을 다녀봤는데
나아지질 않아요.”
“약을 먹어도 증상이 똑같아요.”
기존 방법으로 차도가 없어 절망적인 마음으로 찾아오시는 분들을 볼 때마다
저는 “이분은 꼭 좋아지셔야 한다”는 마음으로 원인을 찾습니다.
오늘은 메니에르병이
왜 반복되고 왜 낫기 어려운지,
구조적 관점에서 말씀드리려고 합니다
얼굴이 붓는 이유, 척추와 자율신경을 함께 봐야 합니다
안녕하세요. 신경과 척추의 균형을 연구하는 본큐어한의원 송정현입니다. 진료실에서 만성적으로 얼굴이 붓...
blog.naver.com
메니에르병의 핵심 병리
내림프수종
메니에르병의 대표 증상들(반복되는 어지럼증, 이명, 난청, 귀 먹먹함) 뒤에는
내림프수종이라는 명확한 병리적 이유가 있습니다.
내림프수종은 귀의 가장 안쪽인 내이에서 생기는 문제예요.
내이에는 청각과 평형감각을 담당하는 기관이 있고,
그 내부를 채우는 내림프액이 과도하게 쌓이거나 제대로 순환되지 못해 압력이 비정상적으로 높아진 상태를 말합니다.
이 압력 불균형이
바로 메니에르병 증상을
일으키는 근본 바탕이 되는 거죠.

진단이 애매한 경우도 많습니다
메니에르병은 전형적인 증상 패턴으로 진단되지만 많은 분들은 여러 증상이 섞여 나타나
진단이 명확하지 않거나 이뇨제 같은 일반적인 방법에도 증상이 나아지지 않아 저를 찾아오십니다.

메니에르병의 진단 기준
정증(Definite)과 의증(Probable)
메니에르병을 진단하기 위해서는 American Academy of Otolaryngology–Head and Neck Surgery Foundation(AAO-HNSF) 에서 제시한 임상 기준을 따릅니다.
이 기준은 내림프수종과
유사한 다른 질환을
배제하고 증상의 범위와
지속 시간을 구체적으로
구분하기 위한 표준이에요.
메니에르 정증(Definite MD)
-20분에서 12시간 동안 지속되는 자발적 현기증 발작이 2회 이상 발생할 것
-현기증 발작 전·중·후 최소 1회 이상 청력검사에서 저~중주파수 감각신경성 난청이 영향을 받는 귀에서 확인될 것
-영향을 받는 귀에서 청력 손실, 이명, 귀 먹먹함(이충만감) 등의 변동성 있는 귀 증상이 나타날 것
-다른 원인 질환이 검사 등을 통해 배제될 것

메니에르 의증(Probable MD)
-20분에서 24시간 동안 지속되는 현기증 또는 어지럼 삽화가 2회 이상 발생할 것
-영향을 받는 귀에서 청력 손실, 이명, 귀 먹먹함(이충만감) 등의 변동성 있는 귀 증상이 나타날 것
-다른 원인 질환이 검사 등을 통해 배제될 것
이 분류에 따르면
전형적 기준을 모두 충족하면
‘정증(Definite)’
일부 항목만 해당될 경우
‘의증(Probable)’으로 진단됩니다.
실제 임상 논문에서도 환자는 위 기준 중 ‘메니에르 의증(probable Ménière’s disease)’에 부합하였으며
이는 내림프수종 가능성이 높지만 완전한 정증에는 해당하지 않는 단계로 분류되었습니다

메니에르병 원인이 되는
3가지 구조적 문제
내림프수종은 단순히 귀 안쪽만의 문제가 아닙니다.
몸 전체의 구조 불균형과 자율신경계 문제가 함께 작용해 생기거나 악화됩니다.

1. 귀 안쪽 혈류와 압력 조절 실패
(자율신경 불균형)
내이의 혈관 조절과 내림프액 압력 조절은 자율신경계의 지시에 따라 이뤄집니다.
혈류의 취약성: 내이는 미로동맥이라는 단 하나의 가느다란 혈관을 통해 피를 공급받기 때문에, 혈류 변화에 극도로 민감해요.
자율신경에 문제가 생겨 교감신경이 과도하게 활성화되면
모세혈관이 수축하고 미로동맥으로 가는 혈액 공급이 줄어들어 귀 기능에 나쁜 영향을 줍니다.


2. 상부 경추 틀어짐으로
인한 혈관 및 뇌신경 압박
내이로 피를 보내는 미로동맥은 뇌저동맥에서 갈라지며 이 혈관은 추골동맥을 통해 올라옵니다.


경추의 역할: 상부경추(목뼈 위쪽 부분)의 배열에 문제가 생기거나
주변 조직이 긴장되면 추골동맥 순환이 떨어져 내이로의 혈액 공급이 감소할 수 있어요.
뇌신경 압박: 귀 기능과 관련 깊은 뇌신경들(안면신경, 미주신경, 전정와우신경 등)은 경추 주변,
특히 경상돌기 주위를 지나가는데, 이 부위의 긴장은 신경 흐름을 방해해 귀 증상을 일으킵니다.

3. 턱관절과 두개골 불균형으로
인한 내이압 조절 문제
턱관절은 단순히 턱만의 문제가 아니라 두개골, 경추, 경막과 모두 긴밀하게 연결돼 있습니다.
경막 긴장: 턱관절에 비틀림이나 교합 문제가 생기면 머리뼈의 미세한 위치에 영향을 주어 뇌와 척수를 감싸는 경막이 한쪽으로 당겨지게 돼요.
내림프액 순환 장애: 경막 내부에는 뇌척수액과 내림프액이 순환하며 압력을 조절하는데,
구조적 긴장은 귀 안쪽 내림프액의 압력 조절에 영향을 주어 메니에르병 원인인 내림프수종을 악화시킬 수 있습니다.

체계적인 진단과
구조적 한의치료
저는 환자분들의 복합적인 증상을 구조적 문제와 연결해 해석하고 이를 객관적인 지표로 확인합니다.




1. 구조적 문제 파악 및 객관화
단순히 심장 기능만 보는 심박변이도 검사만으로는 자율신경실조증의 복잡한 문제를 전부 파악하기 어렵다고 생각합니다.
임상 증상 평가 척도: 두통, 어지럼증, 위장장애, 불안, 우울 등 증상을 세분화된 평가 척도로 점수화해 기록하고,
10회 진료마다 다시 측정해 개선 추이를 수치로 확인합니다.


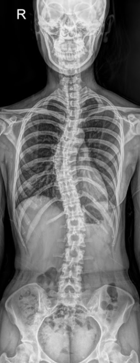
전척추 엑스레이 진단: 환자분께 전척추 엑스레이(경추-흉추-요추-골반대) 촬영을 요청해 척추 배열 상태를 확인합니다.
척추 배열 변화를 통해 자율신경에 가해지는 물리적 압박 상태를 추정하고
진료 후 척추 배열이 정상에 가깝게 개선되는 것을 시각적으로 확인하죠.
2. 원인에 맞는 침도요법 및
복합 한의치료

저는 침도요법을 중심으로 굳어 붙은 조직을 박리해 신경과 혈관이 소통할 공간을 확보하는 물리적 치료를 합니다.
혈관/신경 압박 및 자율신경 불균형:
침도요법을 통해 미로동맥으로 가는 혈관을 압박하는 섬유화된 연부조직 및 경상돌기 주변의 긴장된 조직을 박리해 내이 혈류 순환과 뇌신경 흐름을 개선합니다.

상부경추 틀어짐:
추나요법 및 침도요법으로 상부경추의 배열을 교정해 추골동맥 순환을 원활하게 하고
뇌간에 가해지는 비정상적인 압박을 줄입니다.

턱관절 및 내림프액 순환 저하:
두개천골요법으로 턱관절과 두개골 불균형을 바로잡아 경막 긴장을 해소하고
침도로 두개골 관절면 및 정맥 출구점을 박리해 두부 정맥 순환을 개선해 내림프액 순환에 도움을 줍니다.
3. 학술적 근거 제시 및 신뢰 확보
메니에르병 원인
진료 성과를 매년 학계에 보고하고 있으며
특히 '침도요법 및 한의복합치료로 호전된 돌발성 난청 및 메니에르 의증으로 인한 이명 치험례' 논문을 통해 난청과 동반된 불편감의 개선 사례를 학술적으로 입증했습니다.
돌발성 난청 환자의 논문에서는 난청이 회복되고,
이명장애지수가 18점에서 0점으로 감소하며 청력이 정상에 근접하게 회복된 사례를 보고한 바 있습니다.

난치성 귀 질환으로 오랜 시간 고통받고 계시다면, 더 이상 미루지 마시고 몸의 구조와 신경 균형을 함께 확인해보시길 권합니다.
메니에르병 원인을 정확히 파악하고 근본적으로 접근할 때 비로소 증상 완화의 길이 보입니다.
저는 여러분 몸이 보내는
신호를 귀 기울여 듣고
그 변화를 객관적 자료로 함께
확인해드리겠습니다.
| 꼭 읽어주세요 |
| 한 분, 한 분께 최선의 의료서비스를 제공하기 위해 1일 진료 인원을 한정하고 있는 점, 너그러운 양해 부탁드립니다. 원하시는 시간에 예약이 안 될 수 있으며, 예약하시더라도 대기가 발생할 수 있습니다. 전화 또는 네이버플레이스를 통해 문의 주시면 보다 빠르고 편리하게 안내받으실 수 있습니다. |
| 언제나 최선의 진료를 약속하는 본큐어한의원이 되겠습니다. |
| 한의사 송정현의 생생한 진료 현장을 전해드립니다. |
| 한의사 송정현의 유튜브 바로가기 |
| 한의사 송정현의 스레드를 통해 진료 이야기를 만나보실 수 있습니다. |
| 한의사 송정현의 스레드 바로가기 |
| 진료 문의 |
| 대표전화 : 02-6952-0833 |
| 네이버 플레이스 예약 (링크를 누루시면 자동으로 연결됩니다) |
본큐어한의원은 청담동 청담사거리에 있습니다. 청담역, 압구정로데오역 혹은 강남구청역에서 걸어오시면 편리합니다. 진료를 원하시면 02-6952-0833 또는 네이버플레이스를 통해 예약 부탁드립니다.
한의사송정현 소개글
청담동 본큐어한의원 원장 송정현입니다. 반갑습니다.
안녕하세요 한의사 송정현을 소개합니다. 안녕하세요. 청담동 본큐어한의원 대표원장 송정현입니다. 올해로 청담동 개원 3년차가 되어 다시금 소개글을 작성해봅니다. 저는 청담동 본큐어한의
songhanisa.tistory.com
'진료기록 > 이명_난청' 카테고리의 다른 글
| 돌발성 난청 원인, 귀로 가는 혈관이 막혀서 생깁니다 (0) | 2026.03.08 |
|---|---|
| 이석증치료방법, 왜 자꾸 다시 생기는지 아시나요? (0) | 2026.02.27 |
| 이명난청 동시에 진행된다면 단순한 귀 문제가 아닙니다 (0) | 2026.02.15 |
| 이명 한의원 원인과 개선 방법은 (0) | 2026.02.08 |
| 돌발성 난청 증상 2주 골든타임 놓치면 후회하는 이것 (1) | 2026.02.06 |